Kafa İçindeki Lezyonların Belirtileri Nelerdir?
Kafa içindeki lezyonlar, çeşitli nedenlerle oluşan anormal doku büyümeleri veya hasarlardır. Belirtileri, lezyonun türüne ve yerine bağlı olarak değişir. Baş ağrısı, nörolojik sorunlar, görme değişiklikleri gibi semptomlarla kendini gösterebilir. Erken tanı ve müdahale önemlidir.
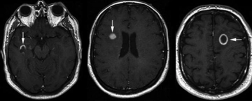
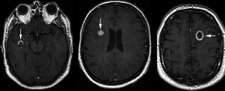
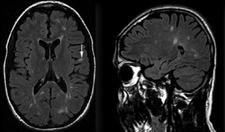
Kafa içindeki lezyonlar, çeşitli nedenlerle oluşabilen anormal doku büyümeleri veya hasarlarıdır. Bu lezyonlar, beyin dokusunda, meninkslerde veya kafatasının diğer bölgelerinde gelişebilir. Lezyonların varlığı, çeşitli belirtilerle kendini gösterebilir ve bu belirtiler, lezyonun türüne, boyutuna ve bulunduğu yere bağlı olarak değişiklik gösterebilir. Lezyon TürleriKafa içindeki lezyonlar, genel olarak birkaç ana kategoriye ayrılabilir:
BelirtilerKafa içindeki lezyonların belirtileri geniş bir yelpazede ortaya çıkabilir. Bu belirtiler, bazı durumlarda ani gelişirken, diğerlerinde yavaş yavaş ilerleyebilir. Belirtiler şunları içerebilir:
Tanı YöntemleriKafa içindeki lezyonların tanısı, genellikle hem klinik muayene hem de görüntüleme yöntemleri ile konulur. Kullanılan başlıca yöntemler şunlardır:
SonuçKafa içindeki lezyonlar, çeşitli belirtilere ve ciddi sağlık sorunlarına yol açabilen durumlar olarak dikkat çekmektedir. Yukarıda belirtilen belirtilerden herhangi birinin ortaya çıkması durumunda, acil bir sağlık kuruluşuna başvurulması önemlidir. Erken tanı ve müdahale, lezyonların etkilerini azaltmak ve tedavi sürecini olumlu yönde etkilemek açısından kritik öneme sahiptir. Ek BilgilerLezyonların tedavi yöntemleri, lezyonun türüne ve hastanın genel sağlık durumuna bağlı olarak değişiklik göstermektedir. Tedavi seçenekleri arasında cerrahi müdahale, radyoterapi, kemoterapi veya ilaç tedavisi yer alabilir. Kafa içindeki lezyonların yönetimi, multidisipliner bir yaklaşım gerektirmekte olup, nörologlar, onkologlar ve cerrahlar arasında işbirliği gerektirmektedir. |





























Kafa içindeki lezyonların belirtilerini deneyimleyen biri olarak, bu durumun ne kadar karmaşık ve korkutucu olabileceğini söyleyebilirim. Özellikle sürekli veya giderek kötüleşen baş ağrıları, günlük yaşamı etkileyebiliyor. Nörolojik belirtiler, yani kuvvetsizlik ve denge kaybı gibi sorunlar yaşandığında, bu durum insanın kendini ne kadar çaresiz hissetmesine yol açabiliyor. Görme değişiklikleri de oldukça rahatsız edici, çünkü aniden beliren bulanık görme veya çift görme, günlük aktiviteleri neredeyse imkansız hale getirebiliyor. Kognitif değişiklikler, bellek kaybı ve konsantrasyon güçlüğü, insanın kendine olan güvenini sarsabiliyor. Bu belirtilerden birkaçı ile karşılaştığınızda, hemen bir sağlık kuruluşuna başvurmanın ne kadar önemli olduğunu anlamak zor değil. Erken tanı ve müdahale, lezyonların etkilerini azaltmak için hayati bir rol oynuyor. Tedavi sürecinde multidisipliner bir yaklaşımın gerekliliği ise, çeşitli uzmanlarla birlikte çalışmanın önemini gösteriyor.
Karmaşıklık ve Korku
Peker, yaşadığınız bu durumun karmaşıklığı ve yarattığı korku oldukça anlaşılır. Kafa içindeki lezyonlar, fiziksel ve duygusal açıdan zorlu bir süreçtir. Özellikle baş ağrılarının sürekli hale gelmesi, günlük yaşamı olumsuz etkileyebilir.
Nörolojik Belirtiler
Nörolojik belirtiler, kişinin yaşam kalitesini düşüren ciddi sorunlardır. Kuvvetsizlik ve denge kaybı gibi durumlar, yalnızca fiziksel değil, ruhsal olarak da kişiyi etkileyebilir. Bu tür hisler, çaresizlik duygusunu artırabilir.
Görme Değişiklikleri
Bulanık veya çift görme gibi görme değişiklikleri, günlük aktiviteleri zorlaştırır ve kişinin bağımsızlığını tehdit eder. Bu durum, sosyal hayattan kopma hissini de beraberinde getirebilir.
Kognitif Değişiklikler
Bellek kaybı ve konsantrasyon güçlüğü, kişinin kendine olan güvenini sarsabilir. Bu tür zorluklarla karşılaşmak, ruhsal sağlığı da olumsuz etkileyebilir.
Erken Tanı ve Müdahale
Belirtilerle karşılaşıldığında, hemen bir sağlık kuruluşuna başvurmanın önemi yadsınamaz. Erken tanı ve müdahale, lezyonların etkilerini azaltmada kritik bir rol oynar.
Multidisipliner Yaklaşım
Tedavi sürecinde farklı uzmanlarla işbirliği yapmanın gerekliliği, tedavi sürecinin etkinliğini artırır. Bu tür bir yaklaşım, hastanın bütünsel bir değerlendirmeye tabi tutulmasını sağlar. Kendinize iyi bakmayı unutmayın!